지방이식 유방검진
국내 여성암 1, 2위
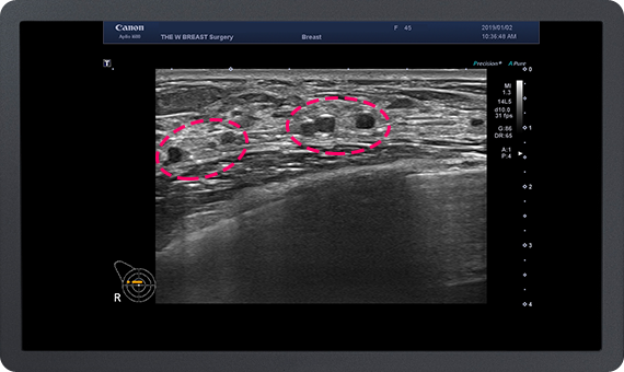
지방이식 후 유방검진
01
THE W BREAST CANCER
THE W지방이식 유방검진 지방이식을하셨다면 유방검진이 필요합니다
가슴지방 이식 수술 후 발생하는 가장 많은 부작용은
지방 낭종과 석회화입니다.
이에 대해 많은 경험을 가진 THE W 유방센터에서는
지방 이식 후 발생한 지방낭종과 석회화의 제거가 가능하며,
지속적인 유방암 추적이 가능합니다.
지방 낭종과 석회화입니다.
이에 대해 많은 경험을 가진 THE W 유방센터에서는
지방 이식 후 발생한 지방낭종과 석회화의 제거가 가능하며,
지속적인 유방암 추적이 가능합니다.
02
THE W BREAST CANCER















